27岁的艾女士是一家航空公司的空乘人员,3月初在海南机场意外摔伤,就近拍片提示“左胫骨螺旋形骨折合并后踝无移位骨折”,也就是“张-侯氏骨折”。螺旋形骨折极不稳定,保守治疗骨折容易再移位,常用的治疗方法是钢板、螺钉内固定术或闭合复位交锁髓内钉内固定术,但是特殊的职业对于皮肤瘢痕有着苛刻的要求,治疗方案的选择和瘢痕的大小可能会影响职业生涯,艾女士和家人陷入了恐惧和焦虑之中:一方面担心保守治疗影响功能,落下后遗症,另一方面又担心手术瘢痕影响职业生涯。
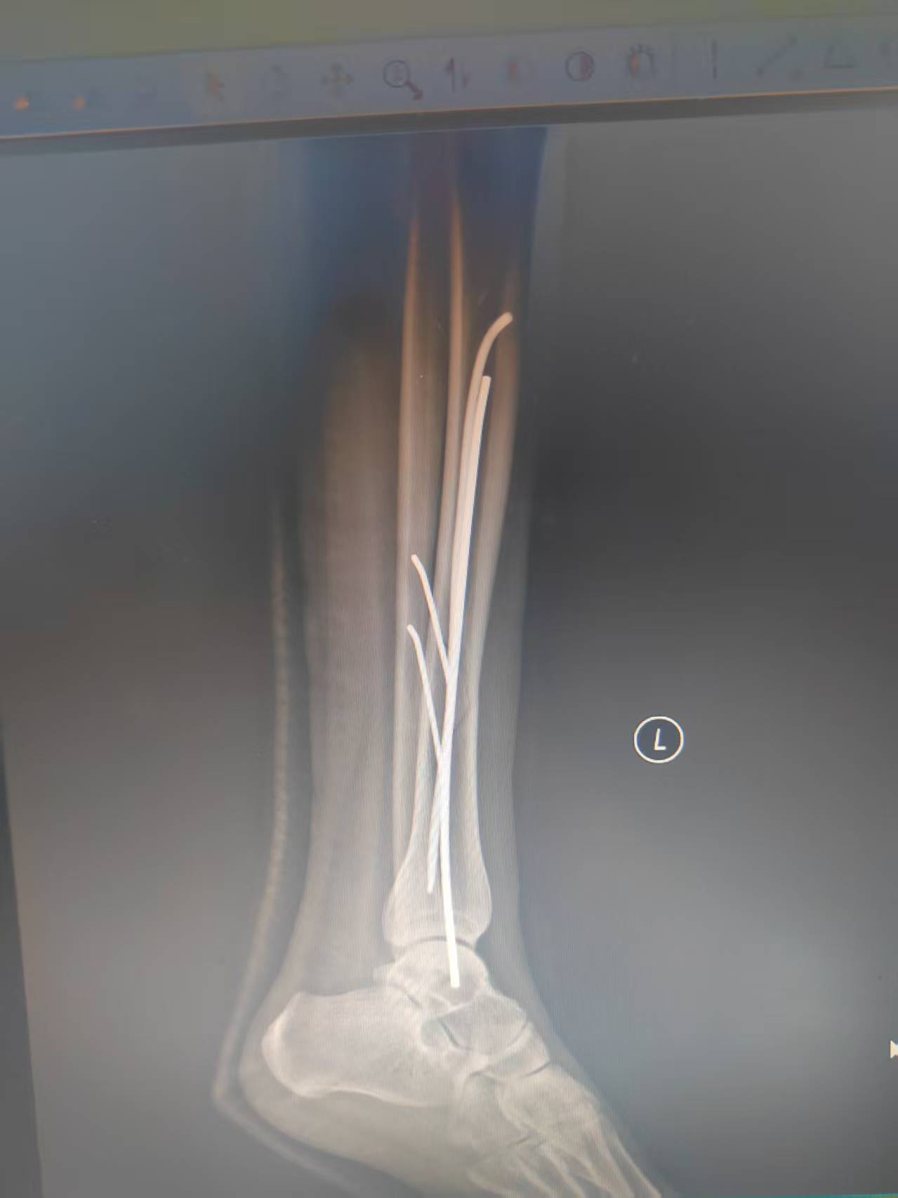
伤后第三天,通过他人介绍,为了少留疤痕,艾女士克服种种困难,忍痛赶来河南洛阳,找到我院洛阳院区手法正骨(微创正骨)二科主诊医师薛继强。薛继强接诊后,完善术前检查,排除下肢深静脉血栓等手术禁忌症后,为其量身定制了“经皮钳夹复位闭合穿针固定术”,手术用时半小时左右,利用付氏钳、点式复位钳纠正骨折位移,达到了解剖复位,利用克氏针和弹性髓内针进行稳固支撑与防旋转固定,确保骨折部位稳定,皮肤上仅有几个针眼,满足了患者和家人的愿望。



薛继强医师介绍,随着社会的发展和人们对复位要求的提高,我院手法正骨与时俱进,坚持传承创新,采用平乐正骨手法结合现代微创技术使骨折达到或接近解剖复位,同时将创伤降到最低,努力满足患者的多元化就医需求。