刚放寒假,18岁的驻马店籍女大学生小王就约了三五好友一起来洛阳游玩,不料刚上车,小王往行李架上放行李箱时意外受伤,出现右肩关节畸形、疼痛、活动受限,车上有位好心乘客表示自己是医生,初步判断小王为“右肩关节脱位”,但尝试手法复位后却没能成功,只能等待到站后去医院处理。到达洛阳后,小王在朋友的陪同下直奔某三甲医院,经过急诊拍片诊断为“右肩关节脱位”,但经过急诊科医生手法复位后仍然没有成功,建议住院后全麻下复位,到住院部后骨科医生再次尝试手法复位仍然没有成功,再次建议住院后全麻下复位。
三番五次非麻醉下手法复位均以失败告终,小王痛的直掉眼泪,抱着最后一线希望来到我院洛阳院区手法正骨科门诊,此时脱位已经五个多小时了。“如果这次门诊复位仍然不成功,我就订票回驻马店的三甲医院麻醉下复位,因为我父母都在那家医院上班”,听了小王的诉说和求医经历,我院洛阳院区手法正骨(微创正骨)二科薛继强副主任医师不由得感到了压力,因为这次非麻醉下复位能否成功不仅决定了小王的旅程能否继续,也关系到我院的声誉甚至是在外地游客眼中的洛阳医疗水平。
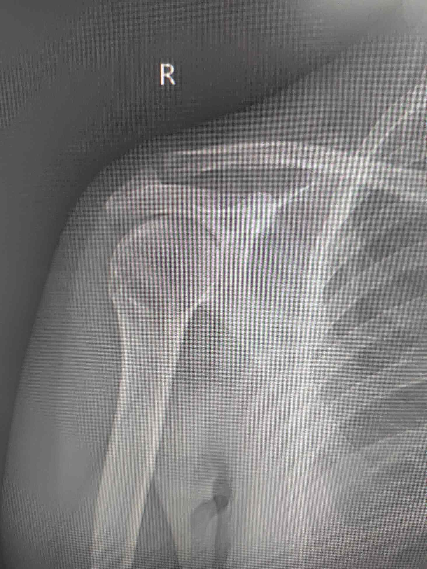
“方肩畸形”、“弹性固定”、“杜加实验阳性”……经过认真查体,确诊为“右肩关节脱位”,但考虑到小王经受了三番五次的非麻醉下复位,薛继强医师并没有立即为其复位,而是建议再次拍片排除先前多次复位可能造成的医源性骨折。再次拍片排除骨折之后,薛继强医师根据小王的描述,大致了解之前几位医生所用的复位方法,为了避免重蹈覆辙,薛继强医师采用俯卧位悬吊牵引结合推肩胛骨复位法,成功为小王复位。小王非常感激,“真是妙手回春,洛阳正骨果然名不虚传……”妥善固定后拍片确认复位成功,薛继强医师交代好注意事项,小王决定继续留在洛阳游玩。


