在这个追求健康与生活质量的时代,面对膝关节骨性关节炎这一常见而困扰人的疾病,我院始终坚持精准诊断、阶梯化和个性化治疗,帮助患者走向康复。近日,两位堂兄弟同受膝关节炎之苦,因个体差异,通过不同的手术方案,最终都收获了满意的疗效。
年龄不同,病情各异,治疗有道
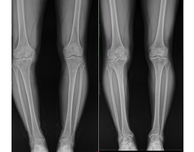
62岁的张伯伯与55岁的张叔叔,两位堂兄弟均被膝关节骨性关节炎所困扰。面对这一挑战,我院膝关节外四科谭红略主任团队首先进行了详尽的术前查体和专业检查,力求为每位患者量身定制最适合的治疗方案。

单髁表面置换术,重拾生活活力
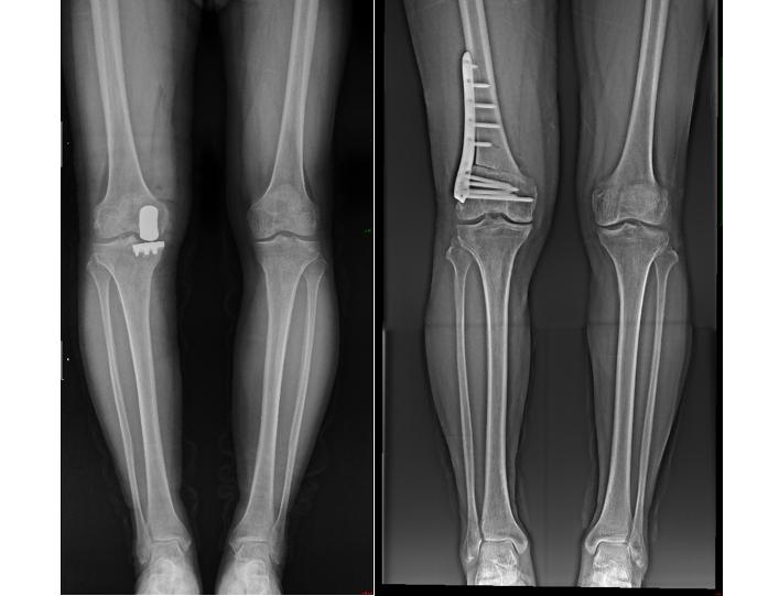
考虑到哥哥年龄偏大,且病情主要集中在膝关节内侧,内侧胫股关节面磨损严重,而外侧及前后交叉韧带功能尚好,谭红略主任团队决定为他实施单髁表面置换术。这一手术精准替换受损的膝关节部分,保留了健康组织,术后张伯伯恢复迅速,不仅疼痛大幅减轻,行走、上下楼梯等日常活动也变得轻松自如。
下肢截骨矫形术,守护年轻活力
而对于相对年轻的弟弟,尽管同样遭受膝关节炎的困扰,但他的情况却有所不同。作为一位热爱运动、活动量较大的人,他的膝关节磨损并不均匀,且年龄尚轻,谭红略主任团队选择了股骨下端闭合截骨术。这一手术通过调整下肢力线,减轻特定区域的压力,有效延缓了关节炎的进展,同时保留了自然关节的功能。术后,弟弟不仅疼痛消失,更重要的是,他得以继续享受运动带来的快乐,生活质量显著提升。

个体化治疗,精准施策
兄弟二人的成功案例,正是我院倡导个体化治疗理念的生动体现。单髁置换适用于年龄较大、单侧间室病变严重而对侧间室良好的患者;而下肢截骨矫形术,则更适合年轻、活跃、且关节磨损相对较轻的患者。通过精准评估每位患者的具体情况,能够为患者提供最适宜的治疗方案,确保治疗效果最大化。

在膝关节骨性关节炎的治疗道路上,没有一成不变的方案,只有最适合的选择。我们坚信,通过不断探索与实践,结合先进的医疗技术与阶梯化的治疗理念,定能帮助更多患者走出病痛,重获健康与自由。