近日,一位36岁男性患者,因骑电动车摔倒,致左肩部肿痛、活动受限,在当地医院检查,拍片显示“左锁骨中段骨折、断端错位明显”,建议手术治疗,患者不想手术,便来到我院手法正骨科就诊。
手法正骨二科主诊组长赵朝锋通过医工结合的方式,采用智能算法模拟手法复位,并设计3D打印定制外固定导板和压垫,为患者进行精准手法复位,用定制导板辅助外固定,贴附性能好,固定牢靠,定制压垫在控制骨折近端移位的同时还能避免皮肤压伤。通过数字骨科技术和中医骨伤手法复位技术结合,充分发挥了中医简、便、验、廉的优势,达到不手术、不穿针、不出血的精准复位和牢靠固定目的,使患者在我院得到优质医疗服务。

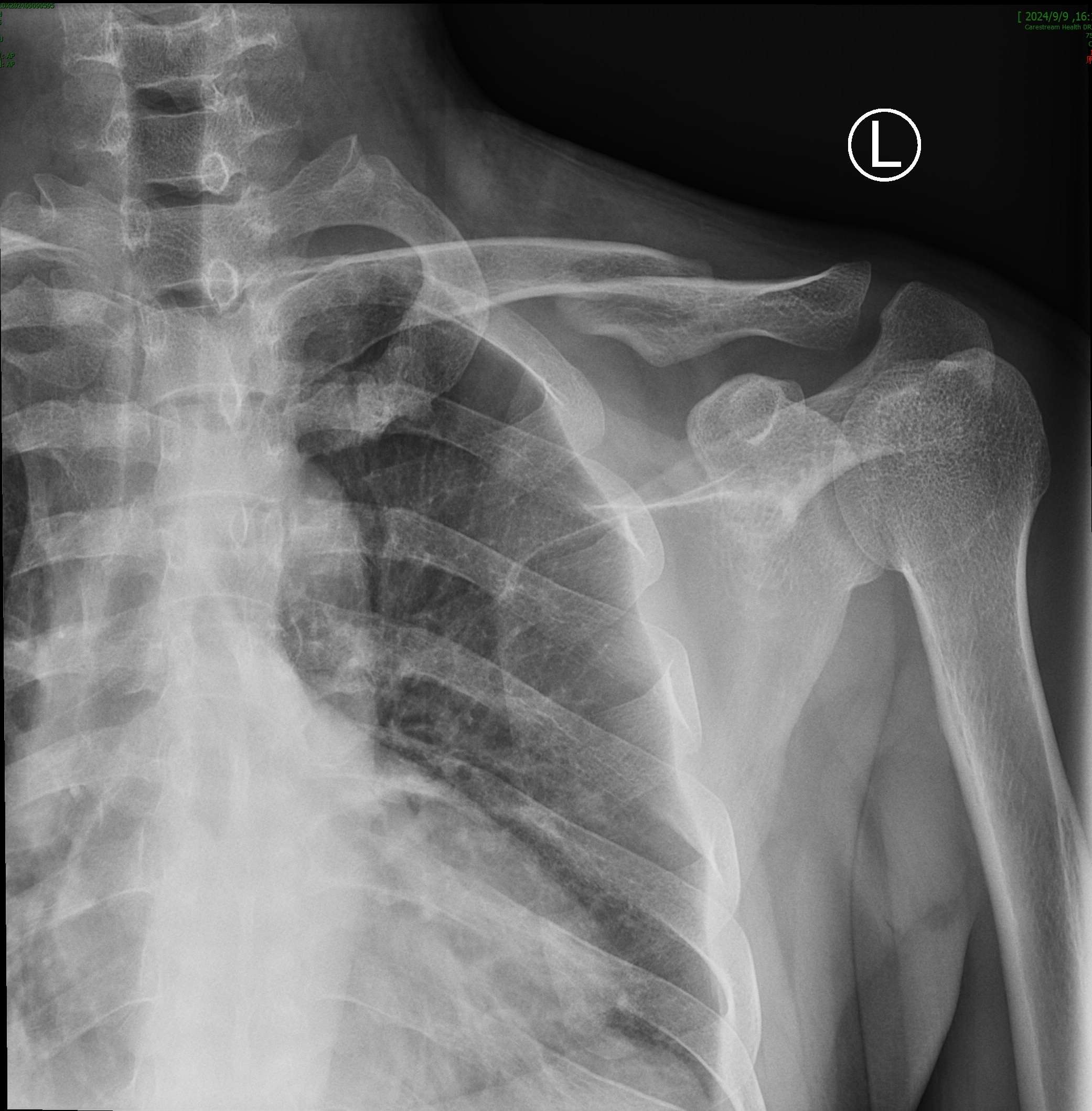
复位前

复位固定后

通过手法复位,利用锁骨带固定的非手术方法治疗锁骨骨折,难点在于复位时效果良好,但难以维持有效固定,往往固定一周后拍片复查,会出现近折端向上移位现象。利用数字骨科3D打印技术,将锁骨近端皮肤外加一块3D打印的导板压垫,可有效阻止近折端上移,从而使骨折端达到精准和有效的固定,减轻患者痛苦,避免二次手术,减少患者医疗支出。