“谢谢你们,不仅仅给我治病,还资助我的医药费。”7月26日上午,我院髋关节外科诊疗中心副主任陈柯、髋关节外一科护士长王桂芝和髋关节外一科医师马向浩将医护人员的爱心捐款交到了患者小肖手中。


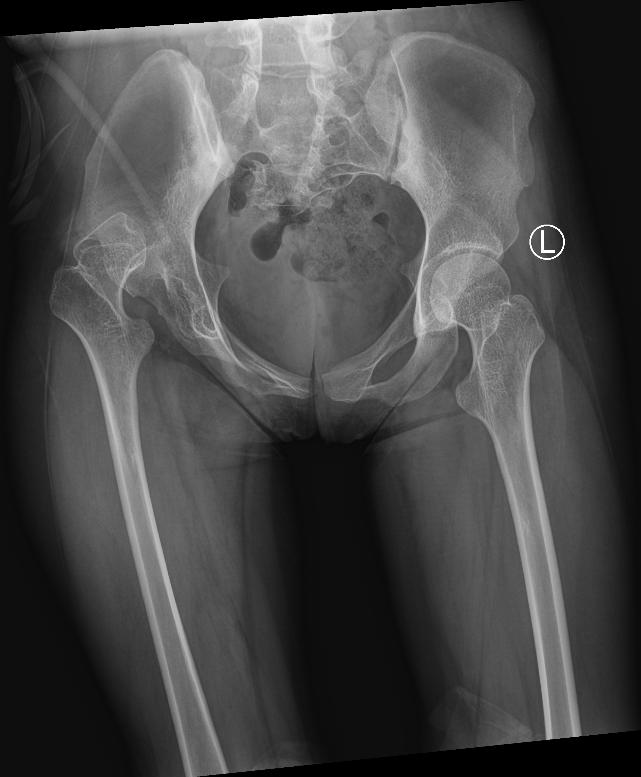
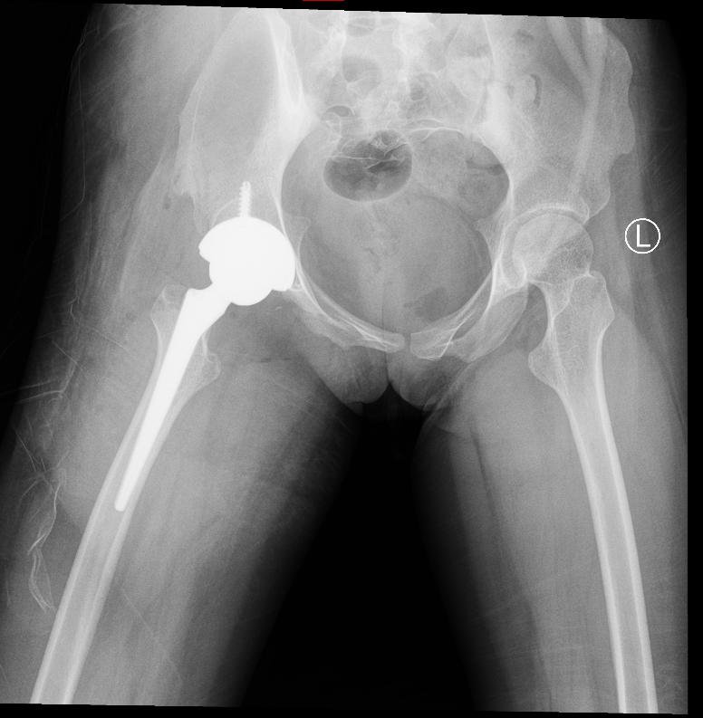
据了解,小肖今年18岁,曾因脊髓瘤多次在外院接受手术,并患有双侧马蹄足、小便失禁等后遗症,需长期携带尿管生活,因右髋关节发育不良在我院治疗。据患者反映,右侧髋关节疼痛难忍,吃止疼药已无法减缓疼痛。考虑到患者病情比较复杂,陈柯主任和他的团队根据患者病史、影像资料、体格检查等信息制定了详细的诊疗方案,于2024年7月15日给患者做了右侧全髋关节置换术,现术后恢复良好,右髋关节疼痛明显缓解,关节功能基本恢复。


陈柯主任团队还邀请足踝外科主诊医师穆世民和史可钊医师给予会诊并给出相关治疗方案建议,待患者髋关节置换术后恢复稳定后择期来我院行双侧足踝融合术,进一步改善患者双下肢功能状态,提升患者生活质量。
小肖曾是弃婴,其养父为断臂,且年近七旬(69岁)。因为中途数次休学去医院治疗,小肖目前初中还未毕业,家庭条件极其贫困,洛阳市爱心组织一直给予经济及其他方面的帮扶。在住院期间,髋关节外科诊疗中心副主任陈柯了解到患者的家庭情况后,呼吁大家进行爱心捐款。据统计,仅髋关节外科诊疗中心的医护人员,通过水滴筹、微信红包及转账的形式,捐献爱心款项近五仟圆。


正骨人,正骨情。病魔无情,人间有爱。我院髋关节外科诊疗中心的医护人员用自己的实际行动,诠释了医者仁心、大爱无疆的高尚情操,用自己的爱和善良服务着每一位患者。