近日,我院膝关节外科诊疗中心在保膝治疗方向取得了突破性的进展,成功完成了洛阳地区首例在AI智能手术规划 3D打印导板辅助下的固定平台单髁置换术。手术由谭红略主任带领曹国瑞、王啸等团队医生完成。本次手术充分体现了数字骨科医学的个体化、精准化、数字化和智能化,为患者带来了更好的治疗效果和康复体验。
患者是一位57岁的女性,双膝关节疼痛3年,近3个月加重,左膝关节较为严重,无明显肿胀,膝关节内侧缘压痛阳性,髌骨研磨试验阳性,膝关节侧方应力试验、前后抽屉试验阴性。经诊断,确定为前内侧骨性关节炎,谭红略主任团队为患者制定了微创的保膝治疗方案——膝关节单髁置换术。

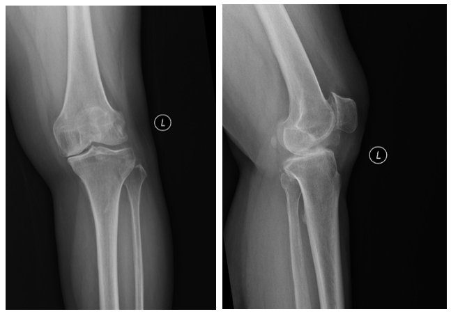
术前
世康灵犀手术系统通过患者的二维影像学数据,对患者骨骼解剖结构进行三维重建,随后,自动测量多项关键数据,自动适配假体型号、确认假体摆放位置,精准规划截骨线位置和截骨量。最后,AI自动生成术前规划报告,并一键生成3D打印导板。整个手术过程顺利,术后效果符合术前规划目标。
术后