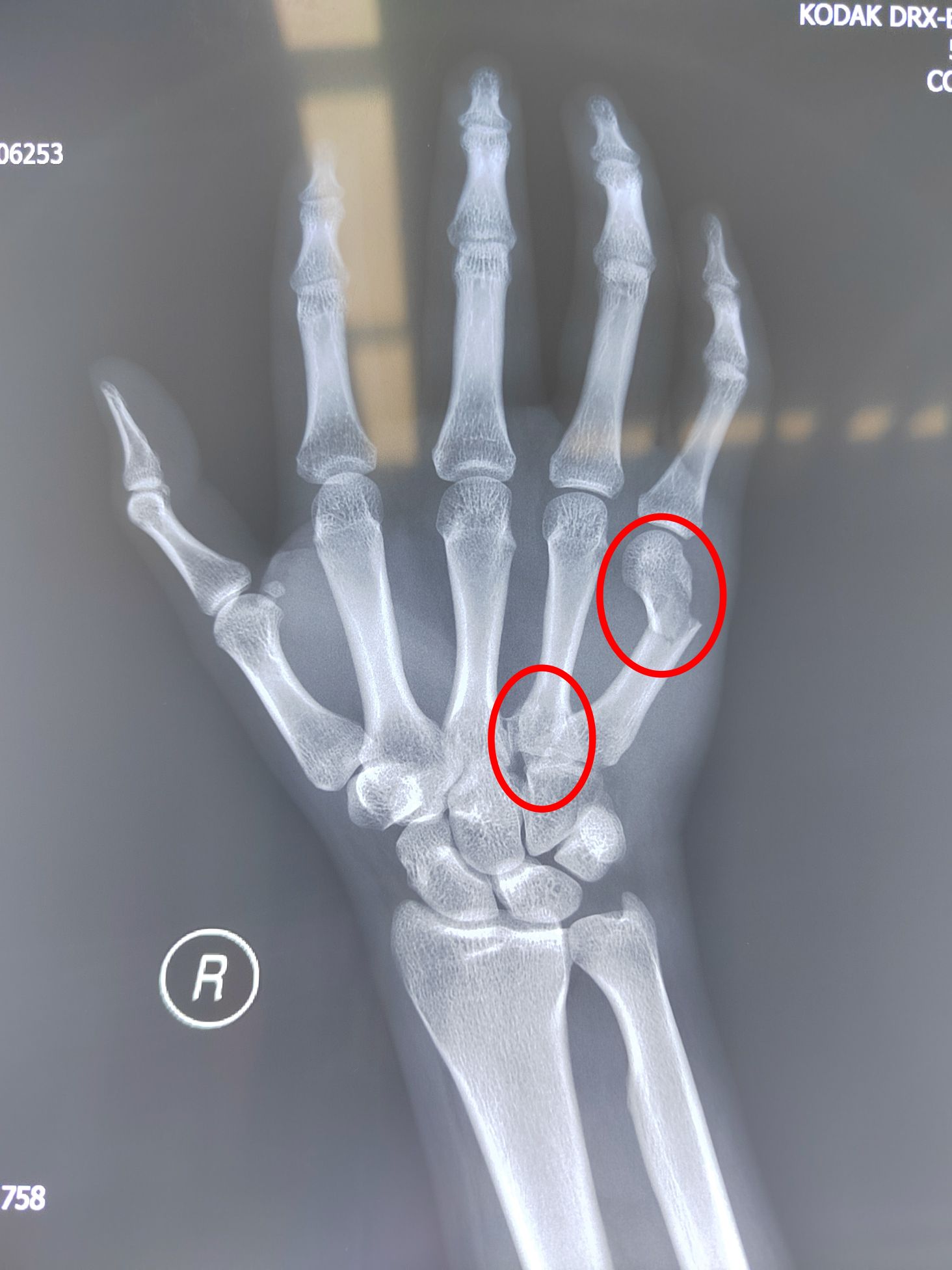
对于每一位高三考生来说,高考是当前最为重要的事情,今年20岁的小马,是孟津区的一名高三考生,2024年6月4日晚上不慎摔伤,导致右手疼痛难忍。到附近医院检查后发现“右手第5掌骨颈骨折,右手第4掌骨基底部骨折”。右手对于一个即将参加高考的高三学生来说,重要性不言而喻,右手骨折后还能不能顺利参加高考成了一个未知数。这场突如其来的意外,使一家人笼罩在阴影之中,焦虑万分。有医生建议放弃考试,先治疗骨折,也有医生建议先忍痛参加考试,考完后再治疗骨折,如何抉择成为摆在家长面前的一道难题。
6月5日晚上8点,一家人带着最后的希望来到我院,找到了正在值班的薛继强医师。薛继强接诊这位特殊的患者后,立即汇报韩卢丽主任并商讨治疗方案。保守治疗需要石膏或支具外固定,这必然影响握笔写字,且骨折端的微动不利于消肿和缓解疼痛;切开复位钢板、螺钉内固定术虽然能够迅速稳定骨折端,但是切口长、创伤大,而且当前手术时机不成熟,此时小马的右手已经肿得像面包一样,切口感染风险较高;传统微创闭合穿针需要辅助石膏或支具外固定,同样影响握笔写字。有没有一种相对微创并且能够迅速稳定骨折端且不需要辅助外固定的治疗方法呢?经过科内讨论,同时参考国内同行的建议,薛继强建议急诊行“微创闭合复位髓内穿针结合克氏针支架固定术”。抽血、化验、心电图、胸片,迅速完善术前检查,与患者及家长沟通,术前谈话、签字,患者入院后3小时——晚上11点,患者进入手术室,在手术医师、麻醉医师、巡回护士、影像技师的通力合作下,手术顺利完成,骨折达到了解剖复位的效果,稳定并加固了两处骨折部位,而且不需要石膏或支具外固定,达到了既稳定骨折端又不影响握笔写字的双重治疗目的。术后12小时,薛继强为小马换药的同时指导他握笔写字,术后14小时,小马便出院查看考场,术后32小时,小马顺利奔赴考场参加考试。高考结束后,通过电话回访,此次骨折并未给小马的考试造成太大的影响。


术前影像检查


术后效果
小马能够顺利参加高考,得益于我院手法正骨诊疗中心开展的“微创闭合穿针技术”。近年来,我院手法正骨诊疗中心在坚持传统手法正骨、保守治疗的同时,不断探索、学习并引进各种微创闭合穿针技术,以满足患者多元化的治疗需求。