“我终于能去考驾照了!”患者武先生在复查后,兴奋地说。
20多年前,武先生患出现脊柱后凸畸形,骶髂部疼痛,到当地医院就诊后,被诊断为强直性脊柱炎,早期通过药物治疗,症状尚能控制,两年前脊柱后凸畸形明显加重,只能低头走路,无法抬头看天,曾经170CM的身高,因为弯腰驼背,入院时仅145CM,严重影响了正常生活。


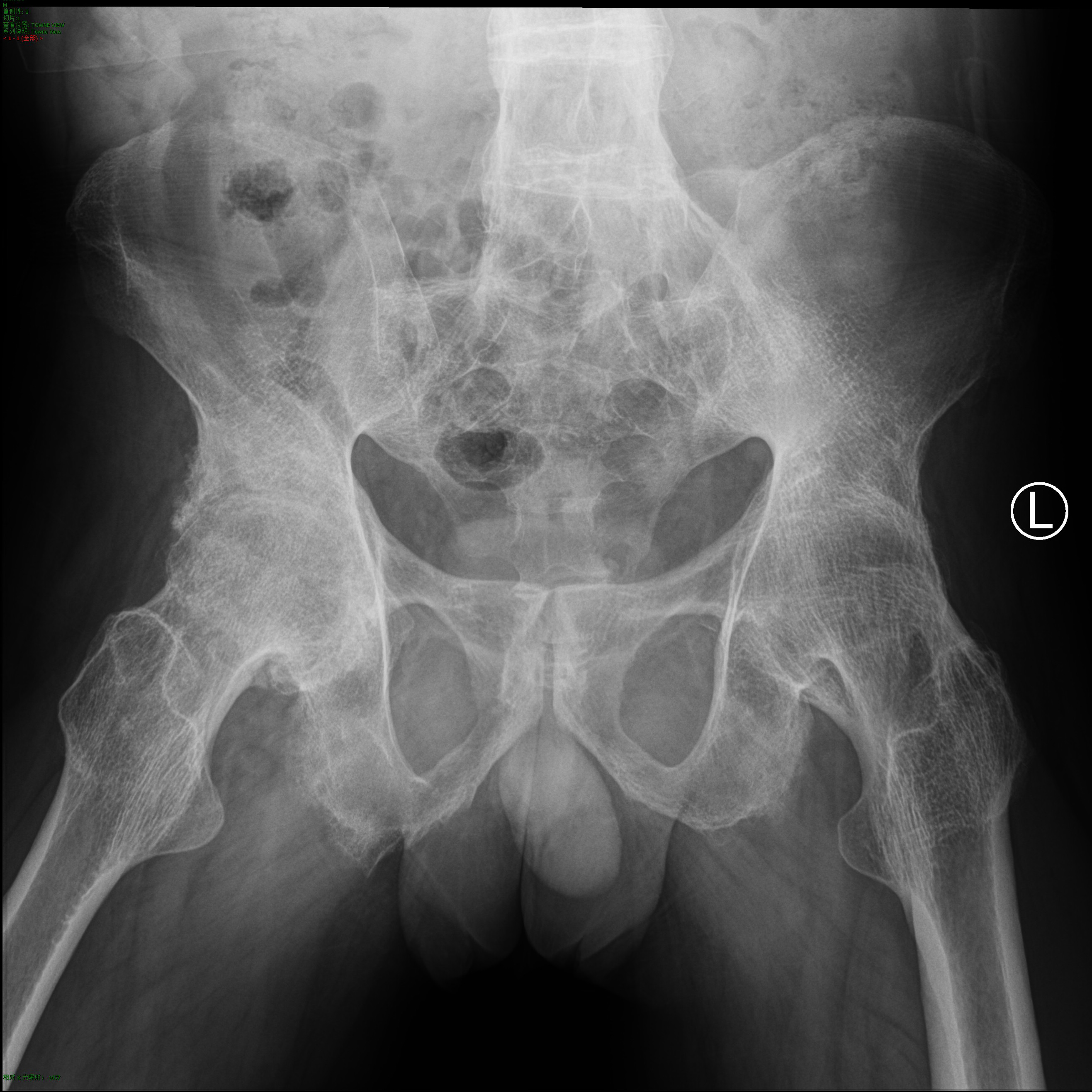
术前脊柱、髋关节影像
因为自身的疾病,武先生四处求医,但效果均不理想,于是慕名来到我院,经脊柱外一科史相钦主任详细检查后,建议病人进行手术治疗,只有通过手术才能让病人真正的“挺胸抬头”。由于武先生病情较为复杂,我院多学科专家会诊后,给出了量身定制的手术方案,为病人进行脊柱后路切开截骨矫形植骨融合内固定术和双侧髋关节松解置换术。


术后脊柱、髋关节影像
史相钦主任、高轩医师团队成功为武先生进行了脊柱后路切开截骨矫形植骨融合内固定术,术后康复20余天后,患者转入髋关节外一科,由陈柯主任、严嘉祥医师团队实施双侧髋关节松解置换术。
在医护人员的精心治疗和护理下,武先生积极配合功能锻炼,恢复效果十分理想,武先生在复查后,得到史相钦主任的肯定,高兴地说:“我终于能去考驾照了,想了好多年,总算能实现了!”


手术前(上)、后(下)对比