“多亏了姚主任、冯医生及各位医护人员的精心照护,我多年的关节病才能治好,太感谢你们了!”5月19日上午,来自青海省海东市化隆回族自治县的患者马先生远赴千里将一面写着“医术精湛、医德高尚”的锦旗亲手送到膝关节外二科主任姚俊娜和医生冯伟的手中,以此表达对膝关节外二科全体医护人员医者仁心的感谢!

马先生今年65岁,左侧膝关节反复疼痛二十余年,经多方保守治疗均无显著效果。按他的话说,“膏药贴了一萝筐,喝药喝了一水缸”。今年以来,疼痛明显加重,尤其是下蹲、走路时痛得特别厉害,导致生活很不方便。经过多方打听,2月13日,马先生在家人的陪伴下,远赴千里来到我院膝关节外二科寻求治疗。
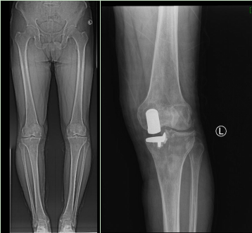
姚俊娜主任认真为其做了体格检查,结合病史及相关辅助检查,诊断为左膝内侧骨性关节炎。姚俊娜主任带领科室团队认真研讨手术方案,为患者制定了详尽的术前计划,并成功实施了左膝内侧单髁置换术。术后医生护士们耐心指导马先生下地行走锻炼,为其讲解骨关节病知识及回家康复注意事项。出院后冯伟医生还多次打电话耐心询问其身体恢复情况,让马先生一家人倍感温暖。马先生目前已能够正常活动,生活质量显著提高。

为了表达自己的感谢之情,马先生再次不远千里专程送来锦旗!他将锦旗送给医护人员后,握着姚俊娜主任的手激动地说:“谢谢你们,真是太感谢你们了!”
一面跨越千里的锦旗,承载着一份肯定,也是一份荣誉,彰显着洛阳正骨的医术,更彰显着洛阳正骨的医者仁心。