年近花甲,本应是享受闲庭漫步、儿孙绕膝般的清闲,但对于来自周口的老李,还在为生活而四处奔波。新年伊始,老李就踏上了南下的旅途,开始了又一年的打工生活。然而看似一次再平凡不过背负行囊的出行,却加重了困扰他一年的胸背疼痛,本以为劳累的他未曾在意,但经过数日卧床休养后,胸背疼痛未见减轻,老李遂到广州当地医院就诊,门诊检查结果却给了老李沉重的一击!
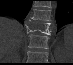
经过慎重考虑,老李决定返乡,并慕名来到我院就诊。脊柱外三科主任陈海龙看到老李的脊柱DR片后,顿感情况不妙,胸11椎体高度降低,椎体骨质及右侧附件结构严重破坏,幸运的是老李目前没有神经损伤症状,否则严重的话可造成双下肢截瘫。陈主任安排医师为老李紧急办理了住院手续,一边叮嘱他绝对卧床,一边加快各项相关检查。结合他的CT及MRI等影像资料显示,结果不过容乐观,不出所料,胸11肿瘤毫无疑问,而后穿刺活检的病理结果再次证实了医生的判断:骨巨细胞瘤。但幸运的是,经过全面彻底排查,未见肿瘤转移,那么此时此刻对老李来讲,完整彻底地切除肿瘤,是最优的选择。




脊柱整块切除术(En-block技术)能完整切除肿瘤组织,最大限度减少肿瘤细胞的扩散,降低肿瘤的复发。但此术式)属于高难度,高风险手术,难点有二:第一,术中出血,肿瘤组织血供异常丰富,术中大量失血可造成失血性休克甚至死亡。第二,肿瘤组织临近脊髓,术中操作稍有不慎,都有可能损伤脊髓导致下肢瘫痪甚至截瘫。
在困难面前,我院脊柱外三科团队没有退缩,在精心策划手术方案后,首先请介入科为老李做了节段血管栓塞,以减少术中出血,而后由陈海龙主任医师主刀,带领主治医师马俊杰、管床医师朱博组成的手术团队,在麻醉医师紧密配合下与全程神经监测保护下,细致分离神经血管,小心保护脊髓组织,成功完整地切除了病变椎体及附件,并应用人工椎体及脊柱钉棒系统重新建立脊柱稳定性,以便老李早期下地活动。在脊柱外三科团队的共同努力下,手术历经四个多小时,取得圆满成功,术中没有任何神经损伤症状出现,术后一周患者老李已经在支具保护下下床活动。




疾病是一场灾难,更是一场修行,经过此次重大手术,当老李再次站起来的时候,他开心的笑了,这笑是重新燃起的希望,也是一种劫后余生般的释然。
