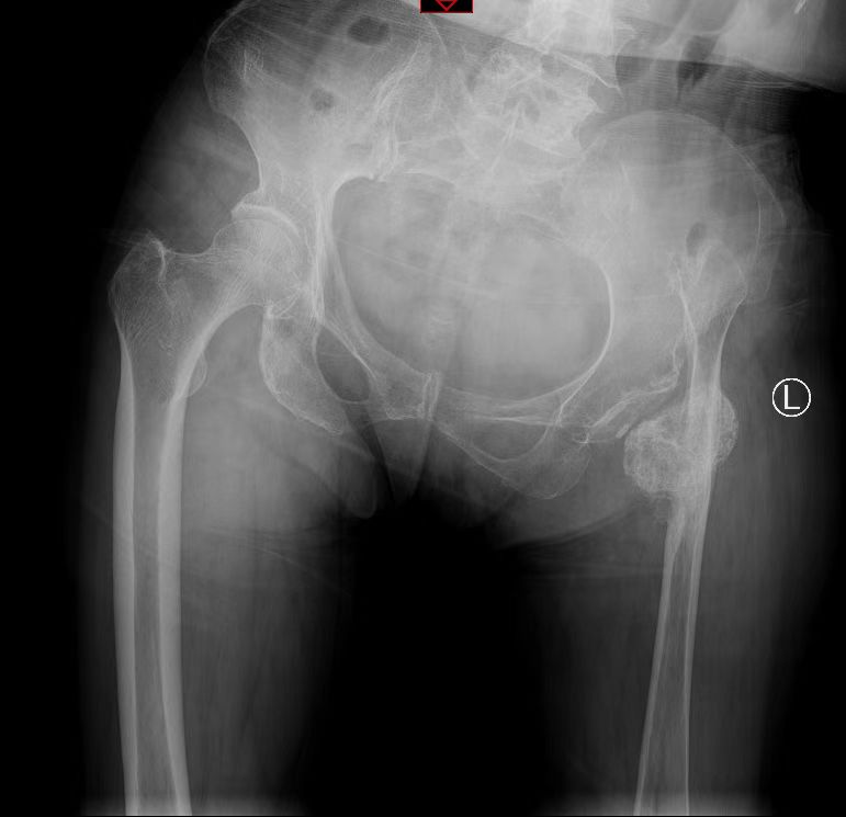
“腿疼治了一辈子,花了几万块钱也没治好,到了正骨医院才找到病根……”家住巩义的吕阿姨说起辛酸的往事,不禁红了双眼。现年74岁的吕阿姨,朦胧的回忆中依稀记得“应该是6岁摔伤了左髋”,自幼便出现瘸腿走路,在缺医少药的年代,忍受了60余年的痛苦。
2022年3月,吕阿姨在家人的鼓励下就诊于我院髋关节外二科,由于复杂的病情,李红军主任团队为她量身定制了手术方案,经过医患双方的共同努力,吕阿姨获得了良好的生活质量。“因为身体的残疾,在社会上经常会遭受别人异样的目光,心理很自卑,现在终于过上了正常人的生活!”吕阿姨兴奋的说。

髋关节外二科团队近年来勇攀高峰,立足我院国家级诊疗中心平台,完成了一个个高难度手术,对复杂髋关节发育不良初次置换、巨大骨缺损的髋关节翻修、髋关节感染的一期翻修,以及基于精细化诊断的髋关节部分翻修积累了丰富的经验。